Ayudas Dentales Ayudas Dentales
INICIO ¿QUÍENES SOMOS? NUESTRA MISIÓN NUESTRA VISIÓN NUESTROS VALORES NUESTRAS SUCURSALES
TESTIMONIOS NUESTRA TRAYECTORIA NUESTROS TESTIMONIOS
PROMOCIONES BRACKETS TRATAMIENTOS GENERALES TRATAMIENTOS ESPECIALES
Súmate a nuestro equipo
Tratamientos, Preguntas Frecuentes y Garantías
Contacto
Logo Inicio Testimonios Promociones y tratamientos Súmate a nuestro equipo Tratamientos, Preguntas frecuentes y Garantías Contacto
NUESTRAS PROMOCIONES
AUTOLIGADO BRACKETS SIN ENGACNHE CIRUGIAS CONSULTA ENDOS ESTETICOS LIMPIEZA VAL INF
Promociones
BRACKETS METÁLICOS
BRACKETS METÁLICOS Son los preferidos por los niños y adolescentes por lo llamativo que pueden llegar a ser, y a que les permite cambiar las ligas de color mes a mes. Sin embargo, son aptos para todas las edades que cumplan con los requisitos de colocación (boca y hueso en estado libre de enfermedades). Además de ser económicos.
BRACKETS ESTÉTICOS
BRACKETS ESTÉTICOS Son preferidos por personas de 30 años en adelante que desean dar una apariencia más seria y tienen mayor poder adquisitivo. La principal característica es que se fabrican de un material que los hace casi imperceptibles a la vista y quedan muy disimulados.
BRACKETS AUTOLIGADOS
BRACKETS AUTOLIGADOS Este sistema se basa en brackets que no requieren ligas que sujeten el arco y son sustituidos por unas compuertas que poseen, y es por eso que generan presión del arco sobre los brackets, llevando al diente a su posición ideal. Son recomendados y preferidos por personas mayores de 30 años o con mayor poder adquisitivo; son ideales para los pacientes con hueso o raíces comprometidas.
TRATAMIENTOS GENERALES
Valoración Inicial Valoración Inicial Es un diagnóstico clínico detallado que tiene la finalidad de detectar a tiempo cualquier anomalía o patología bucal. Además se realizará un presupuesto de las necesidades dentales que tengas, totalmente sin compromiso. De acuerdo con el mismo, podremos ofrecerte una solución a tu alcance.
Rellenos Estéticos Rellenos Estéticos Realizamos este procedimiento clinico - odontológico donde tenemos la habilidad y agilidad de eliminar las caries ocasionadas por diferentes factores, utilizamos materiales de alta calidad como es la resina que nos permite tener una excelente adaptación y color muy parecidos a la pieza dental.
Limpieza Dental Limpieza Dental Consiste en la remoción o eliminación de todo el cálculo y placa bacteriana que se acumula en cada uno de los dientes, es importante que este tratamiento sea realizado por lo menos cada 3 o 6 meses, en todas nuestras clínicas contamos con el aparato de ultrasónico que es el idóneo para poder realizar este procedimiento.
Blanqueamiento Blanqueamiento Este tratamiento es realizado por el paciente en su domicilio, utilizando unas cubetas a su medida junto con un gel blanqueador durante varios días, ofrecemos este servicio en todas nuestras clínicas, es importante asistir a una valoración y de esta manera se pueda planificar la elaboración de todos los aditamentos necesarios para tu blanqueamiento dental ambulatorio.
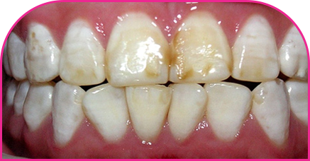
Desmanchado Desmanchado Tratamiento estético que busca eliminar las manchas superficiales de los dientes causadas por el consumo de alimentos, bebidas o tabaco. Utiliza técnicas de limpieza y productos especializados para restaurar el color natural de los dientes, dejándolos más brillantes y uniformes. Es un procedimiento no invasivo que mejora la apariencia de la sonrisa.
Extracción Simple Extracción Simple Es un procedimiento dental en el que se remueve un diente visible en la boca sin necesidad de una cirugía compleja. Generalmente, se realiza bajo anestesia local y es un tratamiento rápido y sencillo, comúnmente utilizado para dientes que están dañados, infectados o que necesitan ser removidos para dejar espacio a otros dientes.
Extración de 3er Molar Extración de 3er Molar Procedimiento dental en el que se retira una muela del juicio (tercer molar) visible en la boca, sin necesidad de una cirugía compleja. Este tratamiento se realiza bajo anestesia local y se lleva a cabo cuando la muela del juicio está causando molestias, está dañada, o hay riesgo de problemas futuros. Es una extracción más sencilla en comparación con una extracción quirúrgica de tercer molar impactado.
Retenedores Retenedores Son dispositivos personalizados utilizados después de un tratamiento de ortodoncia, como el uso de brackets, para mantener los dientes en su nueva posición. Estos aparatos, que pueden ser removibles o fijos, aseguran que los dientes no vuelvan a desplazarse a su posición original. Son esenciales para preservar los resultados del tratamiento y mantener la alineación de la sonrisa a largo plazo.
TRATAMIENTOS ESPECIALES
Endodoncia Endodoncia Es un diagnóstico clínico detallado que tiene la finalidad de detectar a tiempo cualquier anomalia o patología bucal. Además se realizará un presupuesto de las necesidades dentales que tengas, totalmente sin compromiso. De acuerdo con el mismo, podremos ofrecerte una solución a tu alcance.
Cirugía de 3er Molar Cirugía de 3er Molar Procedimiento dental en el que se extrae una muela del juicio (tercer molar) que está impactada o no ha salido completamente. A diferencia de una extracción simple, esta cirugía es más compleja y puede requerir incisiones en la encía y la remoción de hueso circundante. Se realiza bajo anestesia local o general y es común cuando las muelas del juicio causan dolor, infecciones o pueden dañar otros dientes. La recuperación puede incluir reposo y cuidados postoperatorios específicos.
Odontopediatría Odontopediatría Es una de las Especialidades de la Odontología la cual está enfocada en brindar una atención idónea a cada una de las enfermedades bucodentales de los niños. Este servicio es realizado por excelentes profesionales permitiéndole nuestros pacientes obtener un diagnóstico y plan de tratamiento correcto. Además contamos con toda la aparatología ortopédica si la llegara a necesitar el paciente.
Permiso de publicidad COFEPRIS
223300201A1274